Mastoid Surgery

Demystifying Mastoid Surgery: A Guide for Patients

Introduction:

Mastoid surgery, often used for patients struggling with chronic ear infections and related conditions, is a procedure that targets the mastoid bone located behind the ear. This surgery plays a crucial role in treating and preventing serious complications arising from ear infections that have spread to the mastoid bone. The aim of this post is to shed light on mastoid surgery, helping patients and their families understand what it entails, its benefits, and what to expect during the recovery process.

Understanding the Mastoid Bone and Its Role

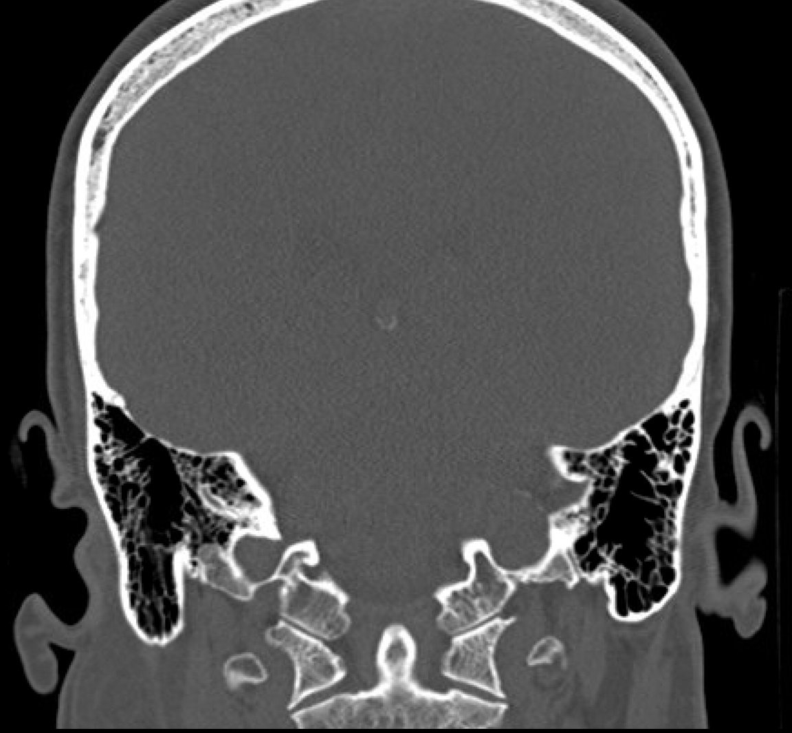
The mastoid bone, with its honeycomb-like structure, is part of your temporal bone. It plays a significant role in the drainage and ventilation of the ear. However, when an infection from the middle ear extends into the mastoid bone, it can lead to a condition known as mastoiditis, necessitating medical intervention, often in the form of mastoid surgery.

What is Mastoid Surgery?

Mastoid surgery, medically known as mastoidectomy, is a procedure performed to remove infected air cells within the mastoid bone caused by untreated or severe middle ear infections. The goal is to eradicate the disease, prevent its recurrence, and in some cases, help restore hearing.

Types of Mastoid Surgery

  • Simple Mastoidectomy: Involves removing the infected mastoid air cells while leaving the rest of the ear's structures intact.

  • Radical Mastoidectomy: A more extensive procedure where additional structures are removed if the infection is severe. This procedure removes the wall of bone that separates the ear canal from the mastoid air cells. This creates a much larger continuous space, or “cavity”, inside the ear by combining the ear canal and mastoid spaces. This open spaces makes the ear more vulnerable to water collections and ear wax buildup, requiring regular visits to the ENT clinic for cleanings. This type might affect hearing.

Why Mastoid Surgery?

Mastoid surgery is recommended to:

  • Eradicate infections unresponsive to antibiotic treatment.

  • Prevent complications related to the spread of infection, such as hearing loss, facial nerve paralysis, or brain abscesses.

  • Restore function in some cases where the infection has caused significant damage to the ear's structures.

The Procedure: What to Expect

Mastoid surgery is performed under general anesthesia. The surgeon makes an incision behind the ear to access the mastoid bone, removing the infected air cells and, if necessary, diseased middle ear structures. The surgery's complexity and duration depend on the infection's extent and the surgery type.

Recovery and Aftercare

Recovery from mastoid surgery varies with the procedure's extent but generally is done as same-day outpatient surgery followed by a period of at-home recovery. Pain and discomfort can be managed with medications prescribed by your doctor. Follow-up visits are crucial to monitor healing and remove any packing material used during surgery.

Patients are advised to keep the surgical area dry and avoid strenuous activities during recovery. Hearing improvement, if applicable, and overall recovery can take several weeks to months.

Conclusion: A Step Towards Better Ear Health

Mastoid surgery represents a crucial step for those struggling with persistent ear infections and their complications. By understanding the procedure, its purposes, and the recovery process, patients can feel more prepared and less anxious about undergoing surgery. Always consult with your ear surgeon to understand how mastoid surgery can be tailored to your specific needs, ensuring the best possible outcome for your ear health.

Remember, taking informed steps towards addressing ear health issues not only alleviates current problems but also paves the way for improved quality of life and well-being.

Previous
Previous

Ear Drum Reconstruction (Tympanoplasty)

Next
Next

Cochlear Implants